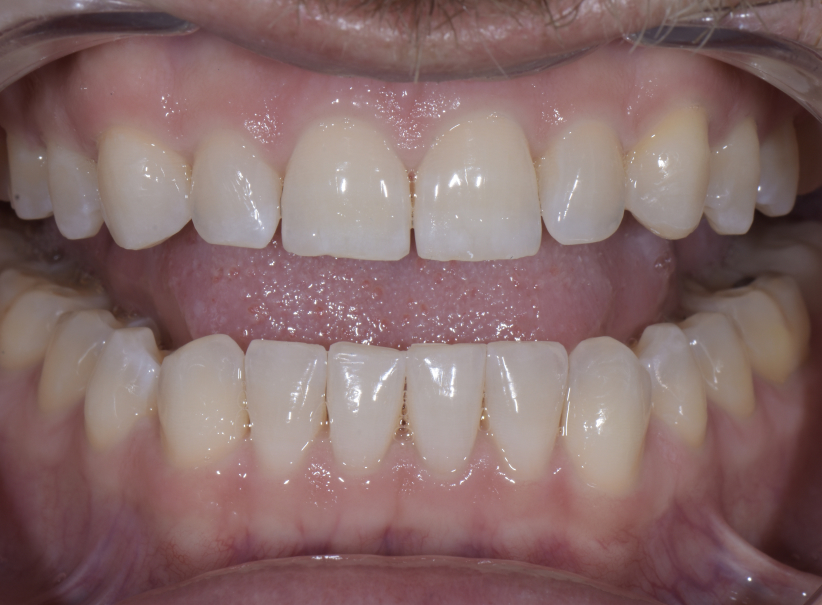
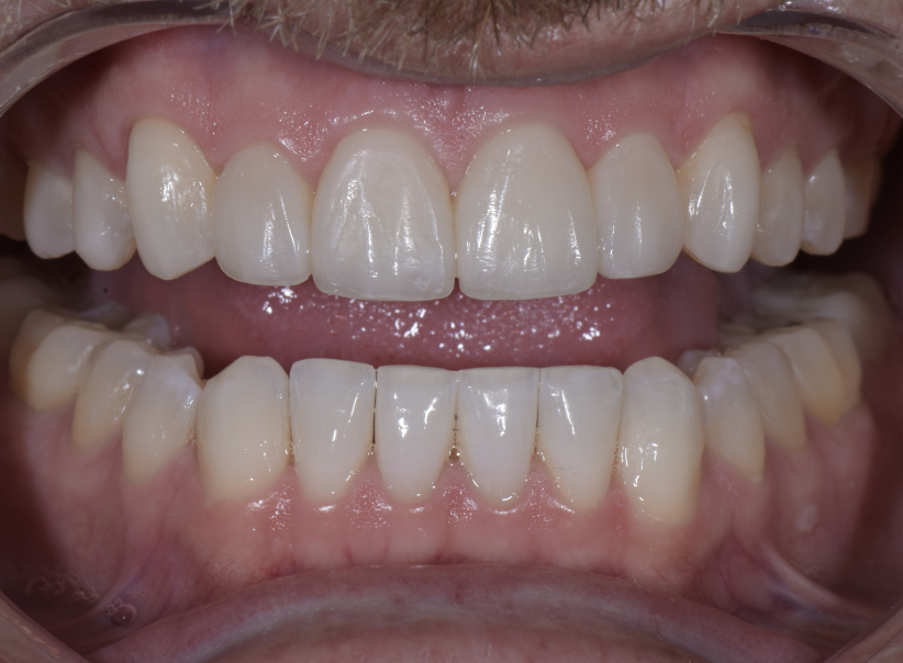
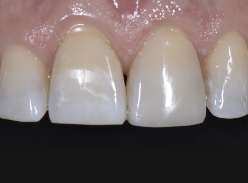
Smile Gallery

Real Patients, Real Results

See the transformative power of AACD-accredited cosmetic dentistry through our patients’ smile journeys.

Smile Gallery

Edit Content
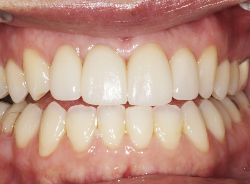
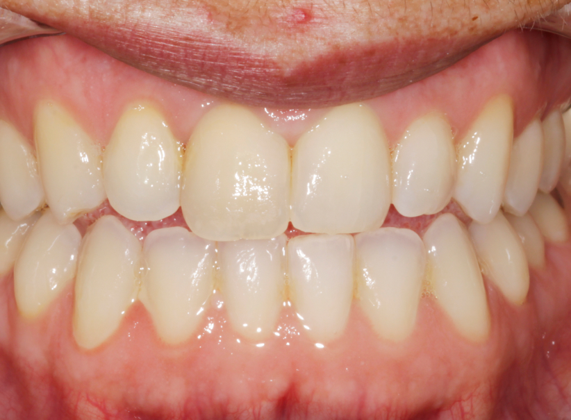
Before After

Missing Tooth Solution

In her 20s, this patient chose a permanent dental implant and crown for her missing tooth. Dr. Desai also added…
View Procedure Details
Before After

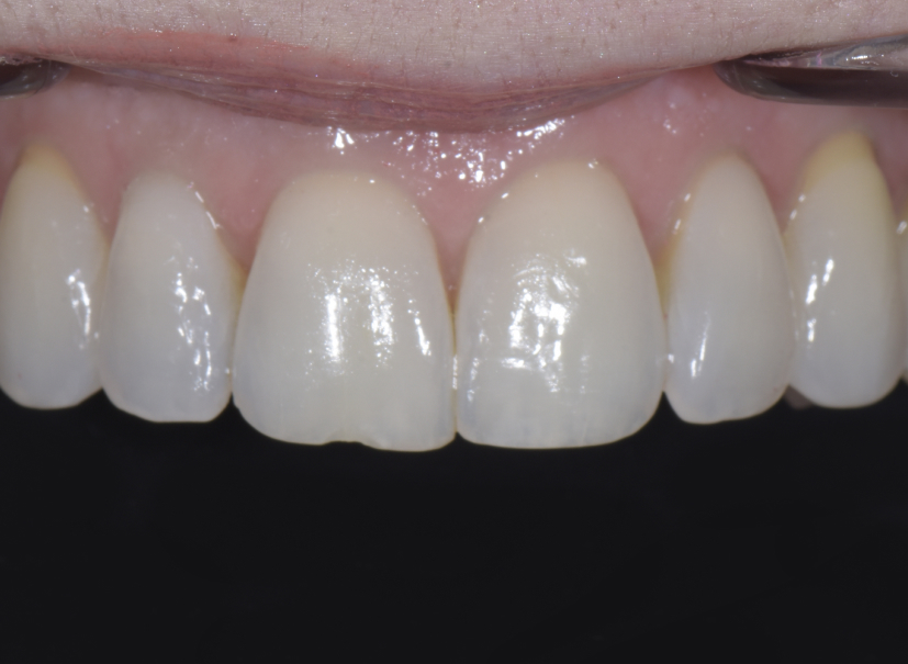
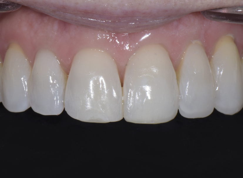
Longer Teeth and Natural Beauty

To achieve longer, natural-looking teeth without losing healthy structure, this patient chose composite bonded veneers by Dr. Desai. The final…
View Procedure Details
Before After

Restoring a Smile After Previous Cosmetic Work

After outgrowing her composite bonding, this patient wanted a shape correction. High-quality ceramic crowns on her front teeth provided the…
View Procedure Details
Before After

Upgrading Previous Dental Work

After years with composite bonding, this patient wanted a smile upgrade. Dr. Desai used two minimal-prep veneers on the top…
View Procedure Details
Before After

Fixing a Chipped Tooth

After correcting a misaligned bite with Invisalign, Dr. Desai used composite bonding to repair chips. Her expert shaping ensured the…
View Procedure Details
Before After

Ready for a Change

After years of dental issues, this patient chose Dr. Desai’s recommendation for a full smile makeover. Using ceramic crowns and…
View Procedure Details
Before After

Smile Enhancement

After years with old work, this patient chose Dr. Desai to replace her dated crowns and veneers. Our expert team…
View Procedure Details
Before After

Eliminating Black Triangles and Mismatched Teeth

After years of living with disproportionate teeth and aging “black triangles,” this patient sought a change. We corrected her uneven…
View Procedure Details
Before After

An Inconsistent Smile

To fix inconsistent shapes and failing dental work, Dr. Desai designed a custom plan using 10 upper ceramic crowns, giving…
View Procedure Details
Before After

A Youthful Smile

Small changes create huge results. After finishing Invisalign, this patient chose Dr. Desai’s minimal prep veneers to rejuvenate her look…
View Procedure Details
Before After

Luminous Prepless Veneers

After a thorough evaluation, Dr. Desai used 10 no-prep veneers to create a symmetrical, fuller smile for this patient. The…
View Procedure Details
Before After

Perfecting His Smile

After Invisalign, this patient chose Dr. Desai for a fuller look. Using eight prepless veneers, we enhanced his alignment to…
View Procedure Details
Before After

A Natural Smile

After Invisalign, Dr. Desai used 13 custom veneers to create the natural symmetry this patient desired. These veneers provide a…
View Procedure Details
Before After

Jagged-edged Front Teeth

To finish her Invisalign journey, this patient chose minimal-prep veneers with Dr. Desai. We smoothed uneven edges and restored her…
View Procedure Details
Before After

A Fuller, More Symmetrical Smile

To achieve a full, beautiful smile, this patient combined Invisalign with Dr. Desai’s minimal-prep veneers. This approach ensured perfect alignment…
View Procedure Details
Before After

Old Cosmetic Bonding Giving a Misshapen Tooth

Frustrated by old, misshapen cosmetic bonding, this patient sought Dr. Desai’s help. She used her artistry to replace the old…
View Procedure Details
Before After

Previous Veneers That Were Poorly Shaped

After years of being unhappy with poorly fitted Lumineers, this patient chose Dr. Desai to remove the old work and…
View Procedure Details
Before After

Chronic Issues with Crowns Breaking and Root Canals

After years of broken crowns and pain, Dr. Desai found a misaligned bite was the cause. She provided a lasting…
View Procedure Details
Before After

Enamel Erosion, Uneven Wear, and a Misaligned Bite

To fix enamel erosion and a misaligned bite, this patient used Invisalign before Dr. Desai completed the restoration. The result…
View Procedure Details
Before After

Cracked and Chipped Teeth

Seeking a youthful glow, this patient chose Dr. Desai for a full consultation. After a health check, custom ceramic crowns…
View Procedure Details
Before After

A Dark Tooth and an Asymmetrical Smile

To improve symmetry and fix a dark tooth, Dr. Desai placed custom ceramic veneers. This durable solution restored the patient’s…
View Procedure Details
Before After

Bite and Esthetic Issues

After inconsistent dental work caused bite issues and chewing pain, Dr. Desai performed a full-mouth restoration using crowns and veneers…
View Procedure Details
Before After

Veneer Revision

As smiles age, old cosmetic work can shift. This patient refreshed her look with a modern upgrade, replacing decades-old prosthetics…
View Procedure Details
Before After

Short Teeth and a Gap

To fix gaps and tooth length post-orthodontics, this patient opted for Dr. Desai’s composite veneers. The conservative approach used expert…
View Procedure Details
Before After

A Gummy Smile and Short Teeth

In her 60s, this patient chose Dr. Desai for a smile makeover. Crown lengthening fixed her gummy smile, combining advanced…
View Procedure Details
Before After

Chipped Teeth

After Invisalign, this patient chose Dr. Desai to repair chipped teeth with bonding. This single-visit, artistic treatment created a flawless…
View Procedure Details
Before After

Lacking Luster and Brightness

Seeking a brighter look, this patient received prep-free veneers on teeth #4-12. Dr. Desai avoided all tooth modification to deliver…
View Procedure Details
Before After

Gaps and Small Teeth

To look his best for his wedding, this patient chose a smile makeover to close gaps and fix tooth size,…
View Procedure Details
Before After

Minimal Preparation Veneers

To improve color and shape, Dr. Desai used a conservative veneer approach. This gave the patient a radiant, uniform smile…
View Procedure Details
Edit Content
Before After

Eliminating Black Triangles and Mismatched Teeth

After years of living with disproportionate teeth and aging “black triangles,” this patient sought a change. We corrected her uneven…
View Procedure Details
Before After

An Inconsistent Smile

To fix inconsistent shapes and failing dental work, Dr. Desai designed a custom plan using 10 upper ceramic crowns, giving…
View Procedure Details
Before After

Perfecting His Smile

After Invisalign, this patient chose Dr. Desai for a fuller look. Using eight prepless veneers, we enhanced his alignment to…
View Procedure Details
Before After

Jagged-edged Front Teeth

To finish her Invisalign journey, this patient chose minimal-prep veneers with Dr. Desai. We smoothed uneven edges and restored her…
View Procedure Details
Before After

Enamel Erosion, Uneven Wear, and a Misaligned Bite

To fix enamel erosion and a misaligned bite, this patient used Invisalign before Dr. Desai completed the restoration. The result…
View Procedure Details
Before After

Chipped Teeth

After Invisalign, this patient chose Dr. Desai to repair chipped teeth with bonding. This single-visit, artistic treatment created a flawless…
View Procedure Details
Edit Content
Before After

Missing Tooth Solution

In her 20s, this patient chose a permanent dental implant and crown for her missing tooth. Dr. Desai also added…
View Procedure Details
Before After

A Gummy Smile and Short Teeth

In her 60s, this patient chose Dr. Desai for a smile makeover. Crown lengthening fixed her gummy smile, combining advanced…
View Procedure Details
Edit Content
Before After

Ready for a Change

After years of dental issues, this patient chose Dr. Desai’s recommendation for a full smile makeover. Using ceramic crowns and…
View Procedure Details
Before After

Smile Enhancement

After years with old work, this patient chose Dr. Desai to replace her dated crowns and veneers. Our expert team…
View Procedure Details
Before After

A Youthful Smile

Small changes create huge results. After finishing Invisalign, this patient chose Dr. Desai’s minimal prep veneers to rejuvenate her look…
View Procedure Details
Before After

A Natural Smile

After Invisalign, Dr. Desai used 13 custom veneers to create the natural symmetry this patient desired. These veneers provide a…
View Procedure Details
Before After

Jagged-edged Front Teeth

To finish her Invisalign journey, this patient chose minimal-prep veneers with Dr. Desai. We smoothed uneven edges and restored her…
View Procedure Details
Before After

A Fuller, More Symmetrical Smile

To achieve a full, beautiful smile, this patient combined Invisalign with Dr. Desai’s minimal-prep veneers. This approach ensured perfect alignment…
View Procedure Details
Before After

Chronic Issues with Crowns Breaking and Root Canals

After years of broken crowns and pain, Dr. Desai found a misaligned bite was the cause. She provided a lasting…
View Procedure Details
Before After

Enamel Erosion, Uneven Wear, and a Misaligned Bite

To fix enamel erosion and a misaligned bite, this patient used Invisalign before Dr. Desai completed the restoration. The result…
View Procedure Details
Before After

A Dark Tooth and an Asymmetrical Smile

To improve symmetry and fix a dark tooth, Dr. Desai placed custom ceramic veneers. This durable solution restored the patient’s…
View Procedure Details
Before After

Bite and Esthetic Issues

After inconsistent dental work caused bite issues and chewing pain, Dr. Desai performed a full-mouth restoration using crowns and veneers…
View Procedure Details
Before After

Lacking Luster and Brightness

Seeking a brighter look, this patient received prep-free veneers on teeth #4-12. Dr. Desai avoided all tooth modification to deliver…
View Procedure Details
Before After

Minimal Preparation Veneers

To improve color and shape, Dr. Desai used a conservative veneer approach. This gave the patient a radiant, uniform smile…
View Procedure Details
Edit Content
Before After

Fixing a Chipped Tooth

After correcting a misaligned bite with Invisalign, Dr. Desai used composite bonding to repair chips. Her expert shaping ensured the…
View Procedure Details
Edit Content
Before After

Fixing a Chipped Tooth

After correcting a misaligned bite with Invisalign, Dr. Desai used composite bonding to repair chips. Her expert shaping ensured the…
View Procedure Details
Before After

Eliminating Black Triangles and Mismatched Teeth

After years of living with disproportionate teeth and aging “black triangles,” this patient sought a change. We corrected her uneven…
View Procedure Details
Before After

Old Cosmetic Bonding Giving a Misshapen Tooth

Frustrated by old, misshapen cosmetic bonding, this patient sought Dr. Desai’s help. She used her artistry to replace the old…
View Procedure Details
Before After

Chipped Teeth

After Invisalign, this patient chose Dr. Desai to repair chipped teeth with bonding. This single-visit, artistic treatment created a flawless…
View Procedure Details
Before After

Gaps and Small Teeth

To look his best for his wedding, this patient chose a smile makeover to close gaps and fix tooth size,…
View Procedure Details
Edit Content
Before After

Restoring a Smile After Previous Cosmetic Work

After outgrowing her composite bonding, this patient wanted a shape correction. High-quality ceramic crowns on her front teeth provided the…
View Procedure Details
Before After

Upgrading Previous Dental Work

After years with composite bonding, this patient wanted a smile upgrade. Dr. Desai used two minimal-prep veneers on the top…
View Procedure Details
Before After

Ready for a Change

After years of dental issues, this patient chose Dr. Desai’s recommendation for a full smile makeover. Using ceramic crowns and…
View Procedure Details
Before After

Smile Enhancement

After years with old work, this patient chose Dr. Desai to replace her dated crowns and veneers. Our expert team…
View Procedure Details
Before After

An Inconsistent Smile

To fix inconsistent shapes and failing dental work, Dr. Desai designed a custom plan using 10 upper ceramic crowns, giving…
View Procedure Details
Before After

Cracked and Chipped Teeth

Seeking a youthful glow, this patient chose Dr. Desai for a full consultation. After a health check, custom ceramic crowns…
View Procedure Details
Before After

Bite and Esthetic Issues

After inconsistent dental work caused bite issues and chewing pain, Dr. Desai performed a full-mouth restoration using crowns and veneers…
View Procedure Details
Before After

A Gummy Smile and Short Teeth

In her 60s, this patient chose Dr. Desai for a smile makeover. Crown lengthening fixed her gummy smile, combining advanced…
View Procedure Details
Edit Content
Before After

Missing Tooth Solution

In her 20s, this patient chose a permanent dental implant and crown for her missing tooth. Dr. Desai also added…
View Procedure Details
Edit Content
Before After

Restoring a Smile After Previous Cosmetic Work

After outgrowing her composite bonding, this patient wanted a shape correction. High-quality ceramic crowns on her front teeth provided the…
View Procedure Details
Before After

Upgrading Previous Dental Work

After years with composite bonding, this patient wanted a smile upgrade. Dr. Desai used two minimal-prep veneers on the top…
View Procedure Details
Before After

Chronic Issues with Crowns Breaking and Root Canals

After years of broken crowns and pain, Dr. Desai found a misaligned bite was the cause. She provided a lasting…
View Procedure Details
Edit Content
Before After

Longer Teeth and Natural Beauty

To achieve longer, natural-looking teeth without losing healthy structure, this patient chose composite bonded veneers by Dr. Desai. The final…
View Procedure Details
Edit Content
Before After

Missing Tooth Solution

In her 20s, this patient chose a permanent dental implant and crown for her missing tooth. Dr. Desai also added…
View Procedure Details
Edit Content
Before After

Upgrading Previous Dental Work

After years with composite bonding, this patient wanted a smile upgrade. Dr. Desai used two minimal-prep veneers on the top…
View Procedure Details
Before After

Cracked and Chipped Teeth

Seeking a youthful glow, this patient chose Dr. Desai for a full consultation. After a health check, custom ceramic crowns…
View Procedure Details
Edit Content
Click on the Edit Content button to edit/add the content.

Smile Gallery

Edit Content
Patient1 Before 1 Patient1 After 1

To improve color and shape, Dr. Desai used a conservative veneer approach. This gave the patient a radiant, uniform smile while keeping her natural teeth healthy and intact.

Veneer2 Before Veneer2 After
To look his best for his wedding, this patient chose a smile makeover to close gaps and fix tooth size, ensuring a confident, carefree smile for his big day.
Veneer3 Before Veneer3 After
Seeking a brighter look, this patient received prep-free veneers on teeth #4-12. Dr. Desai avoided all tooth modification to deliver a stunning, radiant smile with zero drilling.
Bonding1 Before Bonding1 After

After Invisalign, this patient chose Dr. Desai to repair chipped teeth with bonding. This single-visit, artistic treatment created a flawless smile and a high-end, radiant look.

Gummy Smile Before Gummy Smile After

In her 60s, this patient chose Dr. Desai for a smile makeover. Crown lengthening fixed her gummy smile, combining advanced techniques to deliver the youthful, radiant look she wanted.

Short Teeth Before Short Teeth After

To fix gaps and tooth length post-orthodontics, this patient opted for Dr. Desai’s composite veneers. The conservative approach used expert tinting for a seamless, natural result.

Veneers4 Before Veneers4 After
As smiles age, old cosmetic work can shift. This patient refreshed her look with a modern upgrade, replacing decades-old prosthetics to restore a youthful, perfectly aligned smile.
Crowns Veneers Before Crowns Veneers After
After inconsistent dental work caused bite issues and chewing pain, Dr. Desai performed a full-mouth restoration using crowns and veneers to restore function and a beautiful smile.
Veneer5 Before Veneer5 After

To improve symmetry and fix a dark tooth, Dr. Desai placed custom ceramic veneers. This durable solution restored the patient’s smile proportions and will last for many years to come.

Crown Before Crown After
Seeking a youthful glow, this patient chose Dr. Desai for a full consultation. After a health check, custom ceramic crowns were used to rejuvenate his smile and restore vitality.
Veneers6 Before Veneers6 After
To fix enamel erosion and a misaligned bite, this patient used Invisalign before Dr. Desai completed the restoration. The result is a protected, perfectly aligned, radiant smile.
Full Crowns Veneers Before Full Crowns Veneers After
After years of broken crowns and pain, Dr. Desai found a misaligned bite was the cause. She provided a lasting solution to restore dental health and fix this patient’s smile.
Veneers7 Before Veneers7 After
After years of being unhappy with poorly fitted Lumineers, this patient chose Dr. Desai to remove the old work and apply custom veneers for a perfectly symmetric and natural smile.
Bonding2 Before Bonding2 After
Frustrated by old, misshapen cosmetic bonding, this patient sought Dr. Desai’s help. She used her artistry to replace the old work with seamless composite bonding for a perfect smile.
Veneers8 Before Veneers8 After
To achieve a full, beautiful smile, this patient combined Invisalign with Dr. Desai’s minimal-prep veneers. This approach ensured perfect alignment and ideal facial proportions.
Veneers9 Before Veneers9 After

To finish her Invisalign journey, this patient chose minimal-prep veneers with Dr. Desai. We smoothed uneven edges and restored her confidence while preserving natural tooth structure.

Veneers10 Before Veneers10 After
Small changes create huge results. After finishing Invisalign, this patient chose Dr. Desai’s minimal prep veneers to rejuvenate her look and perfect her beautiful, new smile today.
Veneers11 Before Veneers11 After
After a thorough evaluation, Dr. Desai used 10 no-prep veneers to create a symmetrical, fuller smile for this patient. The results are luminous and preserved her natural teeth.
Veneers12 Before Veneers12 After
After Invisalign, this patient chose Dr. Desai for a fuller look. Using eight prepless veneers, we enhanced his alignment to meet his smile goals while keeping natural teeth intact.
Veneers13 Before Veneers13 After

After Invisalign, Dr. Desai used 13 custom veneers to create the natural symmetry this patient desired. These veneers provide a luminous, lifelike glow that rivals real tooth enamel.

Crown Before 1 Crown After 1
In her 20s, this patient chose a permanent dental implant and crown for her missing tooth. Dr. Desai also added a matching veneer to the opposite tooth for perfect smile symmetry.
Veneers 14 Before Veneers 14 After
To achieve longer, natural-looking teeth without losing healthy structure, this patient chose composite bonded veneers by Dr. Desai. The final results are absolutely stunning!
Crowns2 Before Crowns2 After
After outgrowing her composite bonding, this patient wanted a shape correction. High-quality ceramic crowns on her front teeth provided the beautiful, uniform smile she envisioned.
Veneers16 Before Veneers16 After
After years with composite bonding, this patient wanted a smile upgrade. Dr. Desai used two minimal-prep veneers on the top front teeth to deliver a natural and polished appearance
Bonding3 Before Bonding3 After
After correcting a misaligned bite with Invisalign, Dr. Desai used composite bonding to repair chips. Her expert shaping ensured the material blended with the natural tooth structure.
Full Crowns Veneers 2 Before Full Crowns Veneers 2 After
After years of dental issues, this patient chose Dr. Desai’s recommendation for a full smile makeover. Using ceramic crowns and veneers, we restored his healthy, beautiful smile.
Veneers17 Before Veneers17 After
After years with old work, this patient chose Dr. Desai to replace her dated crowns and veneers. Our expert team crafted new veneers that fully rejuvenated her beautiful smile.
Crowns Veneers 3 Before Crowns Veneers 3 After

After years of living with disproportionate teeth and aging “black triangles,” this patient sought a change. We corrected her uneven staining and shapes for a radiant new smile.

Crowns4 Before Crowns4 After
To fix inconsistent shapes and failing dental work, Dr. Desai designed a custom plan using 10 upper ceramic crowns, giving the patient the bright, uniform, and healthy smile desired.
Edit Content
Before After

Longer Teeth and Natural Beauty

To achieve longer, natural-looking teeth without losing healthy structure, this patient chose composite bonded veneers by Dr. Desai. The final…
View Procedure Details
Before After

Restoring a Smile After Previous Cosmetic Work

After outgrowing her composite bonding, this patient wanted a shape correction. High-quality ceramic crowns on her front teeth provided the…
View Procedure Details
Before After

Ready for a Change

After years of dental issues, this patient chose Dr. Desai’s recommendation for a full smile makeover. Using ceramic crowns and…
View Procedure Details
Before After

Smile Enhancement

After years with old work, this patient chose Dr. Desai to replace her dated crowns and veneers. Our expert team…
View Procedure Details
Before After

Eliminating Black Triangles and Mismatched Teeth

After years of living with disproportionate teeth and aging “black triangles,” this patient sought a change. We corrected her uneven…
View Procedure Details
Before After

A Youthful Smile

Small changes create huge results. After finishing Invisalign, this patient chose Dr. Desai’s minimal prep veneers to rejuvenate her look…
View Procedure Details
Before After

Luminous Prepless Veneers

After a thorough evaluation, Dr. Desai used 10 no-prep veneers to create a symmetrical, fuller smile for this patient. The…
View Procedure Details
Before After

Perfecting His Smile

After Invisalign, this patient chose Dr. Desai for a fuller look. Using eight prepless veneers, we enhanced his alignment to…
View Procedure Details
Before After

A Natural Smile

After Invisalign, Dr. Desai used 13 custom veneers to create the natural symmetry this patient desired. These veneers provide a…
View Procedure Details
Before After

Jagged-edged Front Teeth

To finish her Invisalign journey, this patient chose minimal-prep veneers with Dr. Desai. We smoothed uneven edges and restored her…
View Procedure Details
Before After

A Fuller, More Symmetrical Smile

To achieve a full, beautiful smile, this patient combined Invisalign with Dr. Desai’s minimal-prep veneers. This approach ensured perfect alignment…
View Procedure Details
Before After

Previous Veneers That Were Poorly Shaped

After years of being unhappy with poorly fitted Lumineers, this patient chose Dr. Desai to remove the old work and…
View Procedure Details
Before After

Chronic Issues with Crowns Breaking and Root Canals

After years of broken crowns and pain, Dr. Desai found a misaligned bite was the cause. She provided a lasting…
View Procedure Details
Before After

Enamel Erosion, Uneven Wear, and a Misaligned Bite

To fix enamel erosion and a misaligned bite, this patient used Invisalign before Dr. Desai completed the restoration. The result…
View Procedure Details
Before After

A Dark Tooth and an Asymmetrical Smile

To improve symmetry and fix a dark tooth, Dr. Desai placed custom ceramic veneers. This durable solution restored the patient’s…
View Procedure Details
Before After

Bite and Esthetic Issues

After inconsistent dental work caused bite issues and chewing pain, Dr. Desai performed a full-mouth restoration using crowns and veneers…
View Procedure Details
Before After

Veneer Revision

As smiles age, old cosmetic work can shift. This patient refreshed her look with a modern upgrade, replacing decades-old prosthetics…
View Procedure Details
Before After

Short Teeth and a Gap

To fix gaps and tooth length post-orthodontics, this patient opted for Dr. Desai’s composite veneers. The conservative approach used expert…
View Procedure Details
Before After

A Gummy Smile and Short Teeth

In her 60s, this patient chose Dr. Desai for a smile makeover. Crown lengthening fixed her gummy smile, combining advanced…
View Procedure Details
Before After

Lacking Luster and Brightness

Seeking a brighter look, this patient received prep-free veneers on teeth #4-12. Dr. Desai avoided all tooth modification to deliver…
View Procedure Details
Before After

Gaps and Small Teeth

To look his best for his wedding, this patient chose a smile makeover to close gaps and fix tooth size,…
View Procedure Details
Before After

Minimal Preparation Veneers

To improve color and shape, Dr. Desai used a conservative veneer approach. This gave the patient a radiant, uniform smile…
View Procedure Details
Edit Content
Before After

Restoring a Smile After Previous Cosmetic Work

After outgrowing her composite bonding, this patient wanted a shape correction. High-quality ceramic crowns on her front teeth provided the…
View Procedure Details
Before After

Upgrading Previous Dental Work

After years with composite bonding, this patient wanted a smile upgrade. Dr. Desai used two minimal-prep veneers on the top…
View Procedure Details
Before After

Chronic Issues with Crowns Breaking and Root Canals

After years of broken crowns and pain, Dr. Desai found a misaligned bite was the cause. She provided a lasting…
View Procedure Details
Edit Content
Before After

Restoring a Smile After Previous Cosmetic Work

After outgrowing her composite bonding, this patient wanted a shape correction. High-quality ceramic crowns on her front teeth provided the…
View Procedure Details
Before After

Upgrading Previous Dental Work

After years with composite bonding, this patient wanted a smile upgrade. Dr. Desai used two minimal-prep veneers on the top…
View Procedure Details
Before After

Ready for a Change

After years of dental issues, this patient chose Dr. Desai’s recommendation for a full smile makeover. Using ceramic crowns and…
View Procedure Details
Before After

Smile Enhancement

After years with old work, this patient chose Dr. Desai to replace her dated crowns and veneers. Our expert team…
View Procedure Details
Before After

An Inconsistent Smile

To fix inconsistent shapes and failing dental work, Dr. Desai designed a custom plan using 10 upper ceramic crowns, giving…
View Procedure Details
Before After

Cracked and Chipped Teeth

Seeking a youthful glow, this patient chose Dr. Desai for a full consultation. After a health check, custom ceramic crowns…
View Procedure Details
Before After

Bite and Esthetic Issues

After inconsistent dental work caused bite issues and chewing pain, Dr. Desai performed a full-mouth restoration using crowns and veneers…
View Procedure Details
Before After

A Gummy Smile and Short Teeth

In her 60s, this patient chose Dr. Desai for a smile makeover. Crown lengthening fixed her gummy smile, combining advanced…
View Procedure Details
Edit Content
Before After

Fixing a Chipped Tooth

After correcting a misaligned bite with Invisalign, Dr. Desai used composite bonding to repair chips. Her expert shaping ensured the…
View Procedure Details
Before After

Eliminating Black Triangles and Mismatched Teeth

After years of living with disproportionate teeth and aging “black triangles,” this patient sought a change. We corrected her uneven…
View Procedure Details
Before After

Old Cosmetic Bonding Giving a Misshapen Tooth

Frustrated by old, misshapen cosmetic bonding, this patient sought Dr. Desai’s help. She used her artistry to replace the old…
View Procedure Details
Before After

Chipped Teeth

After Invisalign, this patient chose Dr. Desai to repair chipped teeth with bonding. This single-visit, artistic treatment created a flawless…
View Procedure Details
Before After

Gaps and Small Teeth

To look his best for his wedding, this patient chose a smile makeover to close gaps and fix tooth size,…
View Procedure Details
Verified by WP Care Studio
powered by WP Care Studio

Need help getting started?

Request Callback
Send Email

Email Us

Thank you! We'll get back to you soon.

Request Callback

Request a Callback

We'll call you back ASAP

Thank you! We'll call you back soon.

Need help getting started?
Mon 7:00am - 3:30pm
Tue 9:00am - 6:00pm
Wed 7:00am - 3:30pm
Thu 9:00am - 6:00pm
Fri 8:00am - 1:00pm
Sat Closed
Sun Closed
Save Contact
Close the CTA

Biomimetic Dentistry

Natural Preservation

Biomimetic dentistry is the practice of dentistry that seeks to preserve and restore the natural structure of your teeth, rather than replacing them with artificial materials.

 

This approach mimics nature by using materials and techniques that replicate the natural properties of tooth enamel and dentin. By preserving as much of your natural tooth structure as possible, biomimetic dentistry provides stronger, longer-lasting restorations that look and function like your natural teeth.

 

Dr. Desai's biomimetic philosophy means fewer invasive procedures, reduced sensitivity, and better long-term outcomes for your oral health.